Prostate cancer that is confined to the prostate gland can be treated by removal of the prostate (radical prostatectomy) or radiotherapy. Radiotherapy can be given either by directing x-ray beams from outside the body to the prostate (external beam radiotherapy) or by inserting radioactive seeds that release localised radiation from within the prostate.
Prostate Stereotactic Body Radiation Therapy (SBRT) Clinic
What is Stereotactic Body Radiotherapy (SBRT)?
SBRT refers to an advanced form of external beam radiotherapy. The aim is to deliver high doses of radiation to a target within the body in either one or up to five treatment sessions. A specialised co-ordinate system allows multiple, sharply focussed x-ray beams to hit small targets in the body.
What are the advantages of SBRT for the prostate?
SBRT is a completely painless and non-invasive technique that is done in the outpatient setting. This is an advantage over brachytherapy which involves a hospital stay, use of urine catheter and needles. There is also risk of bleeding, infection and general anaesthesia with brachytherapy.
Unlike conventional EBRT which needs 37-39 daily treatments in 7-8 weeks, SBRT is completed in 5 sessions every other weekday over 1 and a half weeks. The amount of rectum and bladder radiated in SBRT is less than with conventional EBRT because the beams are more focussed.
What are the main features of SBRT to the prostate?
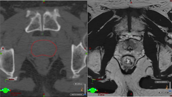
MRI-guided target definition at planning. In addition to the CT simulation scan, the patient undergoes an MRI scan of the prostate, usually on the same day. The MRI images are superimposed on the CT simulation images, allowing the radiation oncologist to define the prostate and tumour accurately. Important normal structures like the urethra (urine pipe) and penile bulb (organ associated with potency) are much more easily seen on MRI and allow the radiation oncologist to ensure that these are not overdosed.

Left – CT simulation scan of the prostate outlined with aid of MRI scan (right) which shows with much greater clarity prostate gland

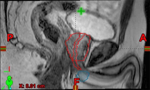
Side view of MRI of the prostate showing the urethra (long structure in red) and penile bulb (round structure in blue)
Physician-directed Image Guidance at treatment. At every treatment session, a pre-treatment scan is taken to determine the prostate position and its relationship with the neighbouring organs like the rectum and bladder. The physician is on-site to make positional adjustments to the treatment area to ensure full dose to the prostate and minimised dose to the rectum and bladder, as planned.

Imaging on-site at the treatment unit is superimposed over the planning CT, to ensure match of the prostate, rectum and bladder position according to plan
Fast and precise delivery of Radiation treatment. The radiation beam is delivered using Volumetric Arc Therapy (VMAT). This highly conformal, powerful x-ray beam is swept around the patient, into the prostate, without interruption. The short treatment times of 4 minutes or less reduces the likelihood of movement of the prostate, and therefore a miss, during treatment.
All the above features allow the radiation oncologist to deliver high doses with tight margins around the prostate of 3-5mm.
What are the results with SBRT to the Prostate?
The results of SBRT have been promising, showing excellent efficacy and mild toxicity. A multi-institutional trial* in the USA of 309 patients who underwent prostate SBRT and were followed-up for for 5 years showed the cancer was controlled in more than 97% of both low and selected intermediate risk patients. Less than 2% of patients suffered any serious long-term side effects in that time.
*Five-Year Outcomes From a Multicenter Trial of Stereotactic Body Radiation Therapy for Low- and Intermediate-Risk Prostate Cancer. R. Meier et al. International Journal of Radiation Oncology Biology Physics. Oct 1 2016, Volume 86, Issue 2, Supplement, Pages S33-S34
What are the potential side effects of SBRT to the Prostate?
Temporary side effects that can occur during and just after treatment include irritative urinary symptoms like frequency, urgency and mild burning sensation during urination. These can be helped by medication to improve urine flow. Leaking urine or blocked urine flow are extremely rare. Bowel frequency may also increase which is easily managed by reducing fruit and vegetable intake and taking medication if necessary. These side effects predictably resolve within 1-2 months of completing treatment.
Is sexual potency affected by SBRT to the Prostate?
As with any local treatment for prostate cancer, SBRT prostate can result in impotence. The rates of impotence are no worse than other forms of radiotherapy, with approximately 40% of men be affected in the long term. It is important to note that other factors not related to the treatment, like smoking, age, diabetes and medications may also affect potency. Despite this, many men can continue to have sexual intercourse with the help of medications like Viagra.
What type of prostate cancer can be treated with SBRT?
Patient selection is important for SBRT to give best results. A radiation oncologist who is familiar with this treatment modality for prostate cancer will be able to advise you on whether SBRT is suitable for your prostate cancer.
AARO offers a comprehensive Prostate SBRT service, including –
1. Interpretation of Prostate Biopsy Results
2. Arranging appropriate scans for determining stage of the cacner
3. Shared Decision Making discussion based on latest medical evidence and clinician experience
4. Determining eligibility for Prostate SBRT
5. Arranging and/or performing treatment for those not eligible for SBRT
6. Follow-up and aftercare
AARO clinicians have the requisite clinical experience in this technique to offer this service.
